Aryel C. Goes

PhD Student in Evolution, Ecology and Organismal Biology | The Ohio State University

I'm interested in social immunity and adaptations of fungus-growing insects toward pathogenic microbes. My research seeks evidence of adaptive social immunity in fungus-growing ants (collective immune memory) and which mechanisms could be involved when recognizing microbes.

About Me

Researcher | Biologist | Academic

Aryel C. Goes

Welcome to my website! I'm a biologist and researcher, currently pursuing my PhD in Evolution, Ecology and Organismal Biology at The Ohio State University (OSU - Columbus, OH), United States.

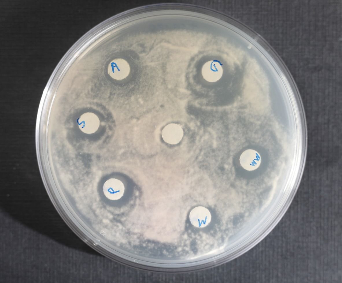
My research focuses on social immunity and adaptations of fungus-growing insects toward pathogenic microbes. I seek evidence of adaptive social immunity in fungus-growing ants (collective immune memory) and investigate which mechanisms could be involved when recognizing microbes. I also strive to understand the role of venoms in social immunity and how social parasites impact the group-level defenses of hosts.

3 Research Lines
9 Publications
10+ Years Research

Research Focus

Current and ongoing research projects

Social Immunity Research

Social Immunity in Leaf-Cutting Ants

Investigating how leaf-cutting ants (Atta and Acromyrmex) recognize and respond to antagonistic fungi in their fungal crops, with focus on specificity and learning mechanisms.

Learn More →
Venoms Research

Collective Immune Memory

Exploring traits of collective immune memory in fungus-growing superorganisms, examining how colonies develop enhanced responses through repeated exposure to pathogens.

Learn More →
Parasites Research

Social Parasite Cooperation

Current PhD research: \"Friendly ants foes: does a social parasite and host cooperate to combat diseases?\" at The Ohio State University.

Learn More →